FREE SHIPPING on orders over $475
FREE SHIPPING on orders over $475 | No Code Needed
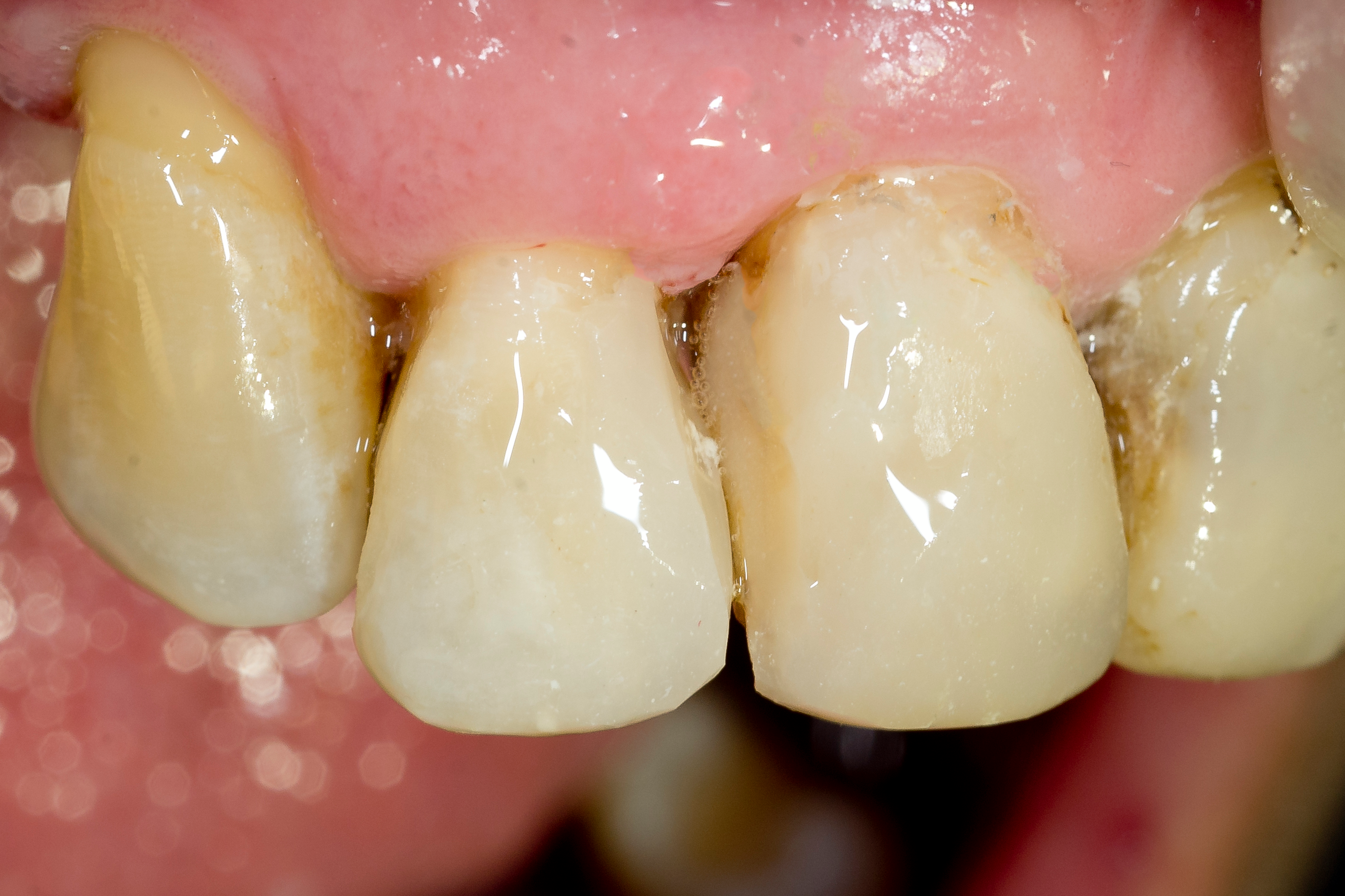
Il paziente viene inviato alla nostra attenzione al fine trattare delle lesioni cariose secondarie in zona estetica. Si valuta di iniziare la terapia restaurativa dall’elemento 1.2 perchè affetto dalla lesione più estesa. Dopo aver posizionato la diga di gomma, precedenti restauri in composito e tessuto cariato vengono rimossi. Viene utilizzata la matrice Fusion™ Anterior Matrix (Garrison) per ricostruire l’area di contatto con l’elemento adiacente, la matrice metallica viene brunita per ottimizzare il posizionamento del punto di contatto, al di sotto del quale viene posto un cuneo. Si esegue la mordenzatura selettiva dello smalto con acido ortofosforico, successivamente viene applicato l’adesivo universale OPTIbond XTR. Il composito OPTshade viene scelto come materiale per il restauro al fine di ottenere un mimetismo ideale . La matrice utilizzata ha permesso di conferire la morfologia ideale al restauro con grande soddisfazione da parte del paziente. Le restanti lesioni secondarie verranno trattate durante le prossime visite.
|
|
| Fig 1. Lesioni cariose secondarie in corrispondenza dell’elemento 1.2 | Fig 2. Cavità preparata dopo il posizionamento della diga di gomma |
|
|
| Fig 3. Preliminare adattamento della matrice Fusion™ Anterior Matrix (Garrison) | Fig 4. Posizionamento subgengivale della matrice |
|
|
| Fig 5. Viene selezionato il cuneo di diametro più sottile | Fig 6. il cuneo viene inserito apportando una decisa pressione |
|
|
| Fig 7. Brunitura della matrice in metallo | Fig 8. Ricostruzione dell’area di contatto attraverso la forma della matrice |
|
|
| Fig 9. mordenzatura selettiva dello smalto con acido ortofosforico | Fig 10. Aspetto gessoso dello smalto mordenzato e disidratato |
|
|
| Fig 11. Applicazione del preimer OPTIbond XTR | Fig 12. Applicazione dell’adesivo OPTIbond XTR |
|
|
| Fig 13. Prima stratificazione della resina composita OPTIshade M | Fig 14. Seconda applicazione di resina composita per correggere il croma dell’elemento |
|
|
| Fig 15. Visione finale del restauro dopo la fase di polishing | Fig 16. Eccellente adattamento gengivale |
|
|
| Fig 17. Punto di contatto ricostruito nella posizione morfologicamente più corretta. | Fig 18. Tempo di continuare il trattamento e sostituire gli altri restauri |