Skip to main content

Ripristino funzionale ed estetico di due seconde classi affacciate

Dr. Alessandro Pezzana

Download

Introduzione

La paziente di 24 anni di età, senza nessuna patologia sistemica di significato odontoiaitrico e non fumatrice si presenta presso lo Studio dentistico Pezzana e Togno per risolvere il problema legato alla permanenza ed al ristagno di cibo nella zona del terzo quadrante nello specifico tra premolare e molare.

Verrano eseguiti due nuovi restauri in composito ponendo attenzione alla corretta chiusura, il giusto profilo di emergenza ed una corretta area di contatto nella giusta geolocalizzazione.

Vantaggi Nell'uso Di Quad

Chiusura cervicale molto buona grazie al cuneo a forma di lingua di serpente che biforcandosi si rende utile proprio in per questo anche in cavità con forme leggermente concave. Grazie al suo tenace anello inoltre si riscontra un’area di contatto molto forte, il chè è sempre un bene.

Documentazione clinica

1
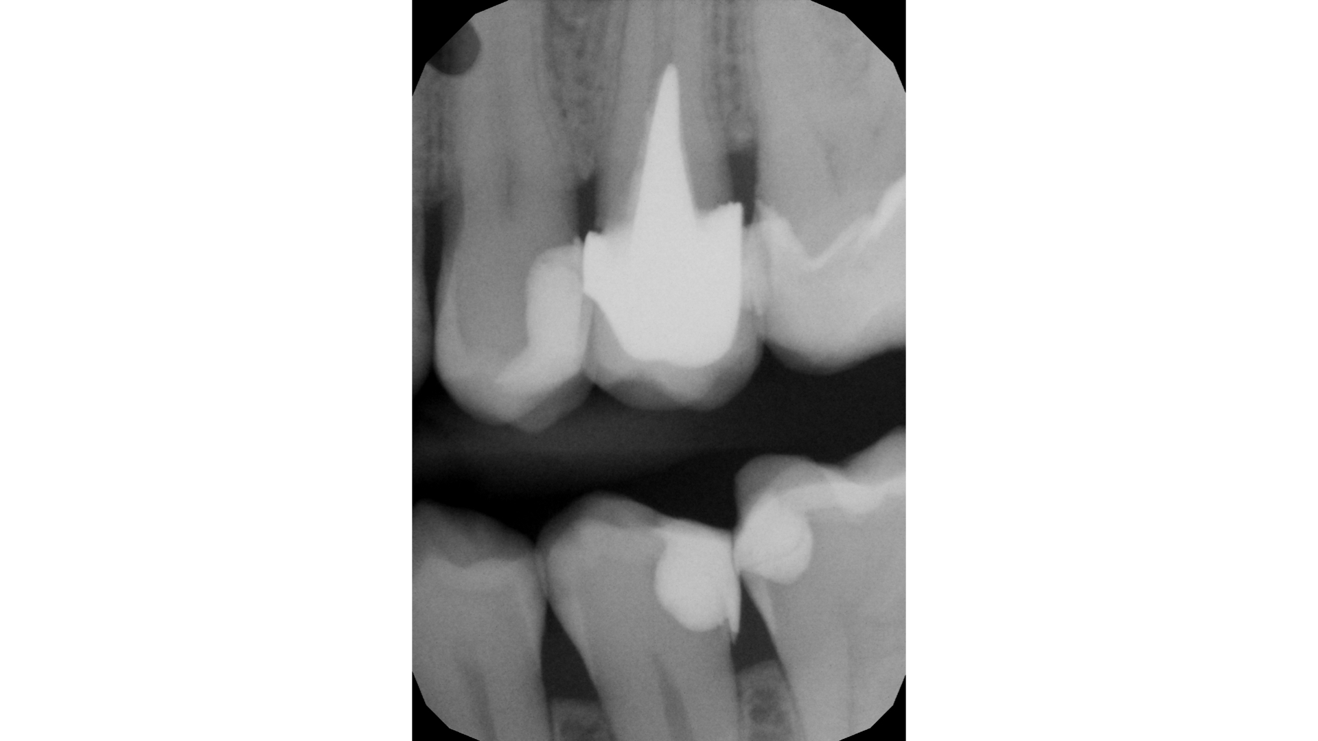
2
Radiografia bitewings iniziale che mostra un precedente restauro infiltrato mesiale a 2.6 ed un restauro debordante distale a 2.5Fotografia occlusale iniziale pre-opertoria 
3
4
Isolamento con diga di gomma, creazione della cavità rimuovendo il vecchio restauro e la carie. Rifinitura della stessa cavità con frese diamantate a granulometria ridotta, strumenti reciprocanti e polveri a base di glicina Verifica fotografica del sigillo cervicale mesiale a 2.6
5
6
Verifica fotografica del sigillo cervicale distale a 2.5 Creazione della parete inter-prossimale distale a 2.5, eliminazione della matrice e successivo inserimento del cuneo d dell’apposito anello con una sola attrice mantenuta
7
8
Creazione della parete mesiale a 2.6 Applicazione di flow con caratteristiche bulk per minimizzare sul fondo cavitario 
9
10
Modellazione della superficie occlusale ed intensificazione dei solchi con pigmento “brown” Modellazione occlusale da un aspetto vestibolare
11
12
Controllo occlusale Controllo radiografico 

About the Author

Dr Pezzana

Dr. Alessandro Pezzana

Dr. Alessandro Pezzana is a private practitioner at the Pezzana e Togno Dental Practice and a lecturer in University Master’s programs in Turin, Bologna, and Palermo. He graduated with top honors from the University of Turin in 2012 and currently practices in Omegna at his private office.

Dr. Pezzana is an active member of the Italian Academy of Conservative Dentistry (AIC) and the Italian Academy of Esthetic Dentistry (IAED), and an honorary member of the Symposium in Friendship (SIA). He is the author of the book The Use of Matrices in Esthetic Dentistry, published by EDRA, as well as numerous international scientific articles in the fields of restorative and prosthetic dentistry.

A nationally and internationally recognized lecturer, Dr. Pezzana is also the director of the training centers Restaurando in Turin and Alessandro Pezzana Restorative in Omegna (VB).