Skip to main content

Restauri diretti in composito in paziente che evidenzia impact-food

Dr. Alessandro Pezzana

Download

Procedura

Paziente  donna  di  52  anni  che  gode  di  piena  salute  a  livello sistemico. Si presenta alla nostra attenzione per dolore in zona premolare e molare del primo quadrante. Dopo un analisi clinica e strumentale con  radiografie e test diagnostici si evidenzia la necessità di sostituire le precedenti otturazioni in composito al fine  di  consegnare  un  migliore  punto  di  contatto  (fenomeno dell’impact food) . Come spesso accade in queste circostanze si decide per il rifacimento di tali restauri sia su 1.6 che su 1.5

Una volta eliminato completamente il composito si procede con la detersione della dentina con frese multiama ed alla rifinitura dei margini di smalto che dovranno essere robusti e puliti.

Dopo il posizionamento del cuneo, anello e delle due  matrici  sezionai,  selezionate  per  altezza  e raggio di curvatura, si procede con l’applicazione dell’adesivo universale previa pre-mordenzatura dello smalto. A questo punto si procede con la stratificazione  e  modellazione  di  una  delle  due pareti inter-prossimali e si polimerizza. Si elimina quindi  la  matrice  della  parete  appena  eseguita sposando  l’anello  che  viene  immediatamente rialloggiato. A questo punto, eliminato lo spessore dato  dalla  seconda  matrice,  si  procede  con  la creazione  della  seconda  parete.  Trasformate  le cavita da II classi a I classi si procede con la classica modellazione cuspide per cuspide sfruttando le caratteristiche  meccaniche  e  perchè  no,  anche estetiche, dei materiali compositi bulk.

1
2
Fig.1 Fotografia inizialeFig.2 Isolamento e aspetto delle cavità ultimate
3
4
Fig.3 Aspetto vestibolare della cavità ultimateFig.4  Aspetto della chiusura cervicale e sulle pareti assiali dato dalla prima matrice
5
6
Fig.5 Aspetto della chiusura cervicale e sulle pareti assiali della seconda matriceFig.6 Aspetto occlusale delle pareti interprossimali appena create
7
8
Fig.7 Aspetto vestibolare delle pareti interprossimali appena createFig.8 Modellazione ed aspetto occlusale
9
10
Fig.9 Modellazione ed aspetto vestibolareFig.10 Modellazione ed aspetto palatino 
11
12
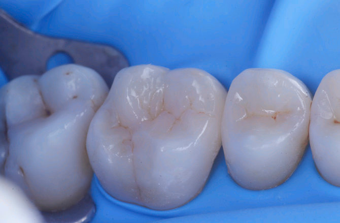
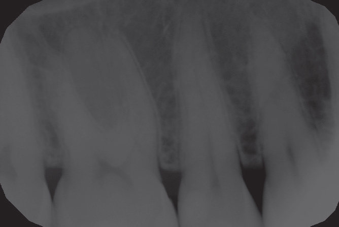
Fig.11 Restauri ultimati sotto controllo occlusaleFig.12 Aspetto radiografico

 

About the Author

Dr Pezzana

Dr. Alessandro Pezzana

Dr. Alessandro Pezzana is a private practitioner at the Pezzana e Togno Dental Practice and a lecturer in University Master’s programs in Turin, Bologna, and Palermo. He graduated with top honors from the University of Turin in 2012 and currently practices in Omegna at his private office.

Dr. Pezzana is an active member of the Italian Academy of Conservative Dentistry (AIC) and the Italian Academy of Esthetic Dentistry (IAED), and an honorary member of the Symposium in Friendship (SIA). He is the author of the book The Use of Matrices in Esthetic Dentistry, published by EDRA, as well as numerous international scientific articles in the fields of restorative and prosthetic dentistry.

A nationally and internationally recognized lecturer, Dr. Pezzana is also the director of the training centers Restaurando in Turin and Alessandro Pezzana Restorative in Omegna (VB).