Skip to main content

IPR Management in Clear Aligners Therapy

Dr. Tommaso Weinstein

Download

Zarządzanie IPR w terapii Clear Aligners

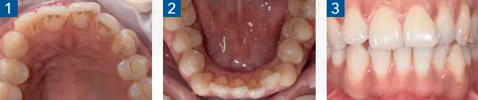
Interproximal space management is a very important issue in clear aligners therapy. This case presented crowding in upper and lower arches. It was treated with clear aligner therapy through a digital planification.
The interproximal reduction (IPR) was carefully planned. The multiple thicknesses of FitStrip™ allowed IPR to be performed with predictability and control. The patient reported excellent comfort during the procedure, better than what was reported with traditional strips.
 

TommasoWeinstein_001_112221 Figure 1
TommasoWeinstein_001_112221 Figure 2
TommasoWeinstein_003_112221. Figure 3

Fig 1, 2 and 3. Initial situation, upper and lower arch.

TommasoWeinstein_004_112221 Figure 4
TommasoWeinstein_005_112221 Figure 5

Fig 4 and 5. Digital planification before 

 

TommasoWeinstein_006_112221 Figure 6
TommasoWeinstein_007_112221 Figure 7

Fig 6 and 7. Digital planification after. Numbers refer to IPR required

TommasoWeinstein_008_112221 Figure 8
TommasoWeinstein_009_112221 Figure 9
Fig 8. Use of FitStripTM for IPR.Fig 9. Clear aligners in place.
TommasoWeinstein_010_112221 Figure 10
TommasoWeinstein_011_112221 Figure 11

Fig 10 and 11. Direct composites on incisal edges.

TommasoWeinstein_012_112221 Figure 12
TommasoWeinstein_013_112221 Figure 13

Fig 12 and 13. Final result in upper and lower arch.