Skip to main content

Predictable Class II Back-to-Back Composite Restorations Using the Quad Matrix System

Dr. Dennis Marangos

Download

Abstract

Achieving predictable, esthetic, and functional Class II composite restorations remains a common clinical challenge, particularly in cases requiring back-to-back contacts. This case presentation highlights the integration of Evanesce Bulk Cure (Clinician’s Choice), the Quad Matrix System (Garrison Dental Solutions), and OptiBond FL (Kerr). Particular emphasis is placed on the importance of rubber dam isolation and employing the Total Etch Technique to maximize bond strength and optimize clinical outcomes.

Background

A 38-year-old patient presented with recurrent decay on the distal of tooth #14 and the mesial of tooth #15 (Fig. 1). Both lesions were moderately sized and required replacement of old composite restorations. The treatment plan included direct composite restorations using a total-etch adhesive protocol.

Figure 1
Figure 1. Initial examination reveals adjacent Class II carious lesions requiring restoration.

Procedure

A rubber dam was placed to isolate the operative field (Fig. 2). Proper isolation remains a cornerstone of adhesive dentistry. It protects the field from contamination with saliva, blood, and moisture, which can significantly compromise the integrity of the adhesive interface. Additionally, a rubber dam improves visibility and access, allowing for precise technique execution and patient safety.

Figure 2
Figure 2. A rubber dam ensures a dry field, preventing contamination and improving visibility during the procedure.

An important clinical tip is to use rubber dam clamps with floss ligatures and Wedge Guards during interproximal preparation to ensure secure and effective isolation around posterior teeth as well as protecting the adjacent teeth from inadvertent damage.

Once the old restorations and recurrent caries were removed, pumice and air abrasion were used to remove the plaque and biofilm from the teeth (Fig 3). A Total Etch Technique was employed to enhance micromechanical retention to enamel and dentin. The process included:

  1. Application of Ultra-Etch (Ultradent) 37% phosphoric acid etch: 15-20 seconds on enamel, 10-15 seconds on dentin (Fig. 4).
  2. Thorough rinse and gentle air-drying to maintain moist dentin.
  3. Re-wet the dentin by scrubbing with G5 All-purpose Desensitizer (Clinician’s Choice) for 10 seconds and blotting any excess.
  4. Application of OptiBond FL:
    1. Primer applied and scrubbed for 15 seconds. Be generous with the primer as this step is key in preventing post-operative sensitivity.
    2. Gentle air thinning of the primer is followed by application of adhesive resin.
    3. Light-cured for 20 seconds.
Figure 3
Figure 4
Figure 3. Removal of carious tissue and old restorations, creating clean preparations ready for restoration.Figure 4. Total Etch Technique involves etching enamel for 15-20 seconds and dentin for 10-15 seconds, followed by thorough rinsing. Re-wet the preparation with G5.

OptiBond FL, a three-step total-etch adhesive, has consistently shown high bond strength and clinical longevity in posterior composites. Its primer-adhesive design optimizes dentin penetration, formation of the hybrid zone and enamel bonding1.

One of the most difficult aspects of multi-surface posterior composites is achieving tight, anatomical interproximal contacts—especially in back-to-back Class II restorations. The Quad Matrix System was selected for its innovative quadrant approach. The innovative wedge design ensures a tight gingival seal while the ring design creates a separation force that leads to tight contacts on both teeth.

The Quad System offers several advantages that enhance the efficiency and quality of dental restorations. One key benefit is its ability to allow for the simultaneous placement on adjacent teeth, making it particularly well-suited for back-to-back restorations. The system features pre-contoured, firm matrix bands that help recreate natural tooth anatomy with accuracy. A distinctive element of the Quad System is its “split wedge” design, which enables the Quad Wedge to adapt to both sides of the gingival embrasure simultaneously. This design not only seals both gingival margins effectively—reducing the risk of flash and overhangs—but also drives the matrix band deeper to improve adaptation at the gingival margin. Additionally, the rings are engineered to separate teeth efficiently and endure compression forces, with the Driver Tip specifically designed to optimize contact formation. The system also ensures secure positioning of the matrix band, minimizing the risk of collapse or displacement during composite placement.

In this case, both teeth were prepped, and the Quad System was placed to ensure stable contact creation during the restoration process. Anatomically shaped wedges and separating rings were inserted to achieve optimal band adaptation and gingival seal (Fig. 5 & 6).

Figure 5
Figure 6
Figure 5-6. Simultaneous placement facilitates the restoration of back-to-back Class II lesions with proper contact and contour.

Evanesce Bulk Cure was selected due to its outstanding combination of physical and clinical properties. Unlike traditional light cure composites that require incremental placement and curing, Evanesce Bulk Cure allows you to place the material in a single increment. Being Bio-Adaptive, Evanesce Bulk Cure’s self-leveling flow ensures intimate adaptation to the pulpal floor, cavity walls and matrix band. This will prevent gaps and improve marginal adaptation. The unique self-curing properties of Evanesce Dual Cure reduces the shrinkage stress and gaps caused by excessive shrinkage force at the pulpal floor usually associated with light-cure materials. The bulk placement will reduce clinical time significantly - an important factor for both clinicians and patients.

Evanesce Bulk Cure is compatible with any adhesive system. It offers high radiopacity, which ensures easy post-operative evaluation, and the material also delivers excellent polishability and wear resistance.

Each proximal box was bulk filled using Evanesce Bulk Cure and light-cured from both the buccal and lingual aspects to ensure complete polymerization (Fig. 7). After bulk placement, occlusal anatomy can be enhanced using a final enamel layer of Evanesce Universal Composite, if necessary. This can optimize esthetics but is not required due to Evanesce Bulk Cure’s notable wear resistance.

Figure 7
Figure 7. Composite is placed in bulk, as there are no limits on increment depth,ensuring proper adaptation of the proximal box.

After removing the matrix system, the contacts were carefully verified using floss to ensure proper interproximal alignment. Occlusion was then assessed with articulating paper to confirm accurate bite relationships. Margins were refined using fine-grit diamond burs and carbide finishing burs to enhance precision and smooth transitions. A final polish was achieved through a multi-step polishing system designed to deliver optimal smoothness and luster. This polishing protocol included the use of Rally Polishers (Garrison Dental), A.S.A.P. Polishers (Clinicians Choice), and composite polishing paste for a high-quality, esthetic finish (Fig. 8-11).

Figure 8
Figure 9
Figure 8-9. After removing the matrix system, the contacts were carefully verified using floss to ensure proper interproximal alignment. Occlusion was then assessed with articulating paper to confirm accurate bite relationships (Rally Polishers - Garrison).
Figure 10
Figure 11
Figure 10-11. Margins were refined using fine-grit diamond burs and carbide finishing burs to enhance precision and smooth transitions. A final polish was achieved through a multi-step polishing system designed to deliver optimal smoothness and luster (A.S.AP Polishers - Clinicians Choice).

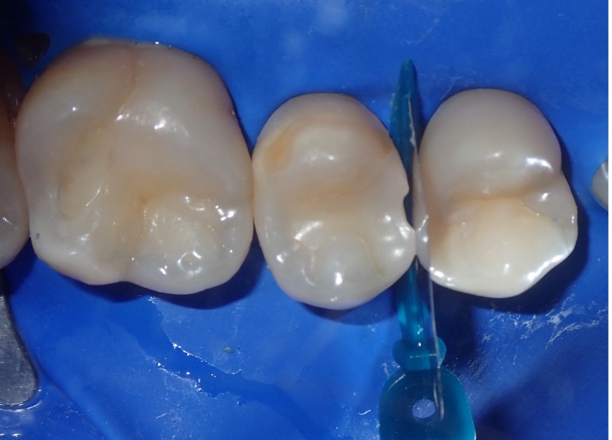
The final restorations demonstrated tight, anatomically correct proximal contacts, ensuring proper tooth alignment and function. They also exhibited excellent marginal adaptation and a high-quality polish, contributing to both durability and esthetics. Additionally, the restorations maintained functional occlusion, resulting in high patient satisfaction with both comfort and appearance (Fig. 12).

Figure 12
Figure 12. Restorations exhibit tight proximal contacts, smooth surfaces, and natural anatomy, ensuring function and esthetics.

Conclusion:
Successful posterior composite restorations depend on thoughtful material selection and strict adherence to technique. The integration of rubber dam isolation, Total Etch bonding with Kerr OptiBond FL, and modern matrix systems such as the Garrison Quad System can significantly reduce the challenges associated with back-to-back Class II restorations. Clinicians Choice Evanesce Bulk Cure allows clinicians to efficiently fill deep cavities without compromising esthetics or durability.

Clinical Pearl:
For predictable Class II restorations, focus on isolation, adhesive protocol, and matrix system selection just as much as on the composite itself.

Reference:
1Inglês M, Vasconcelos E Cruz J, Mano Azul A, Polido M, Delgado AHS. Comparative Assessment of Different Pre-Treatment Bonding Strategies to Improve the Adhesion of Self-Adhesive Composites to Dentin. Polymers (Basel). 2022 Sep 21;14(19):3945. doi: 10.3390/polym14193945. PMID: 36235894; PMCID: PMC9570807

About the Author

marangos

Dr. Dennis Marangos

Dr. Dennis Marangos, a graduate from the University of Toronto Faculty of Dentistry in 1986. Dr. Marangos stays abreast of current concepts in the fields of Restorative Dentistry and Adhesion. Over the years, he has enriched his restorative expertise through programs such as the Esthetic Dental Continuum at SUNY Buffalo and the KOIS Center’s program on Creating Restorative Excellence.

Throughout his career, he has devoted a significant portion of his practice to treating patients with TMD, Craniofacial Pain, Occlusal problems, and sleep-disordered breathing. Dr. Marangos holds numerous certifications including the American Board of Craniofacial Dental Sleep Medicine and the American Board of Craniofacial Pain. With memberships in numerous organizations related to TMD, craniofacial pain and Sleep Disordered Breathing, Dr. Marangos stays abreast of current concepts in the fields of TMD, Craniofacial Pain, Restorative Dentistry and Occlusion.

Recognized for his dedication to excellence, Dr. Marangos achieved Fellowship in the Academy of General Dentistry in 2021. With his extensive experience and steadfast commitment to his profession, Dr. Dennis Marangos continues to make significant contributions to dental care and beyond.