Skip to main content

The back-to-back dilemma, what matrix system should I use?

Dr. Mario Romero

Download

Background

A 34-year-old female patient in good general health presented to my practice with interproximal carious lesions affecting teeth #12 on the distal-occlusal (DO) surface and #13 on the mesial-occlusal-distal (MOD) surface.

Procedure

After profound anesthesia was accomplished using a carpule of OraBloc Articaine 4% with epinephrine 1:100.000 via infiltration, rubber dam isolation was completed (Black Hysolate-Coltene) (Figure 1)

Figure 1
Figure 1

Caries was removed using a minimal intervention approach which helped with keeping the central groove area intact on tooth #13 (Figure 2). Once the infected dentin was completely removed and a clean peripheral seal zone obtained, we cleaned the preparations using 23-micron aluminum oxide combined with distilled water (AquaCare) and then moved forward with selecting the ideal matrix system for this case. Garrsion’s Quad matrix system has quickly become my preferred due to its “split” wedge systems that helps with “pushing” the band mesial, distal or both (in back-to-back cases) (Figure 3).

Figure 2
Figure 3
Figure 2Figure 3

The Restorative procedure was initiated with #13 DO. After placing the matrix system, selective enamel etching for 15 seconds was completed, rinsed and dried (Figure 4)

Figure 4
Figure 4

A two-step SE adhesive system was applied (OptiBond Extra Universal- Kerr) and light cured. We then restore the proximal wall using Brilliant EverGlow A2 dentin shade (Coltene) (Figure 5) and continued with a single horizontal layer (2mm) to replace the dentin, followed by two oblique layers (buccal and lingual) to replace the enamel layer (Figure 6). Each of these increments were cured individually. 

Figure 5
Figure 6
Figure 5Figure 6

We remove the sectional matrix system and place it in between teeth #12-13 to restore both preparations simultaneously (Figure 7). See how the Quad wedge split tip contours the bands even prior to placing the ring.

Figure 7
Figure 7

Make sure that the black arrow is always placed towards the lingual and that it pushes each end of the split wedge towards the mesial and distal as seen on Figure 8

Figure 8
Figure 8

After completing the same adhesive steps as before we built both proximal walls between #12-13 (Figure 9) and continued to restore the occlusal surface (Figure 10)

Figure 9
Figure 10
Figure 9Figure 10

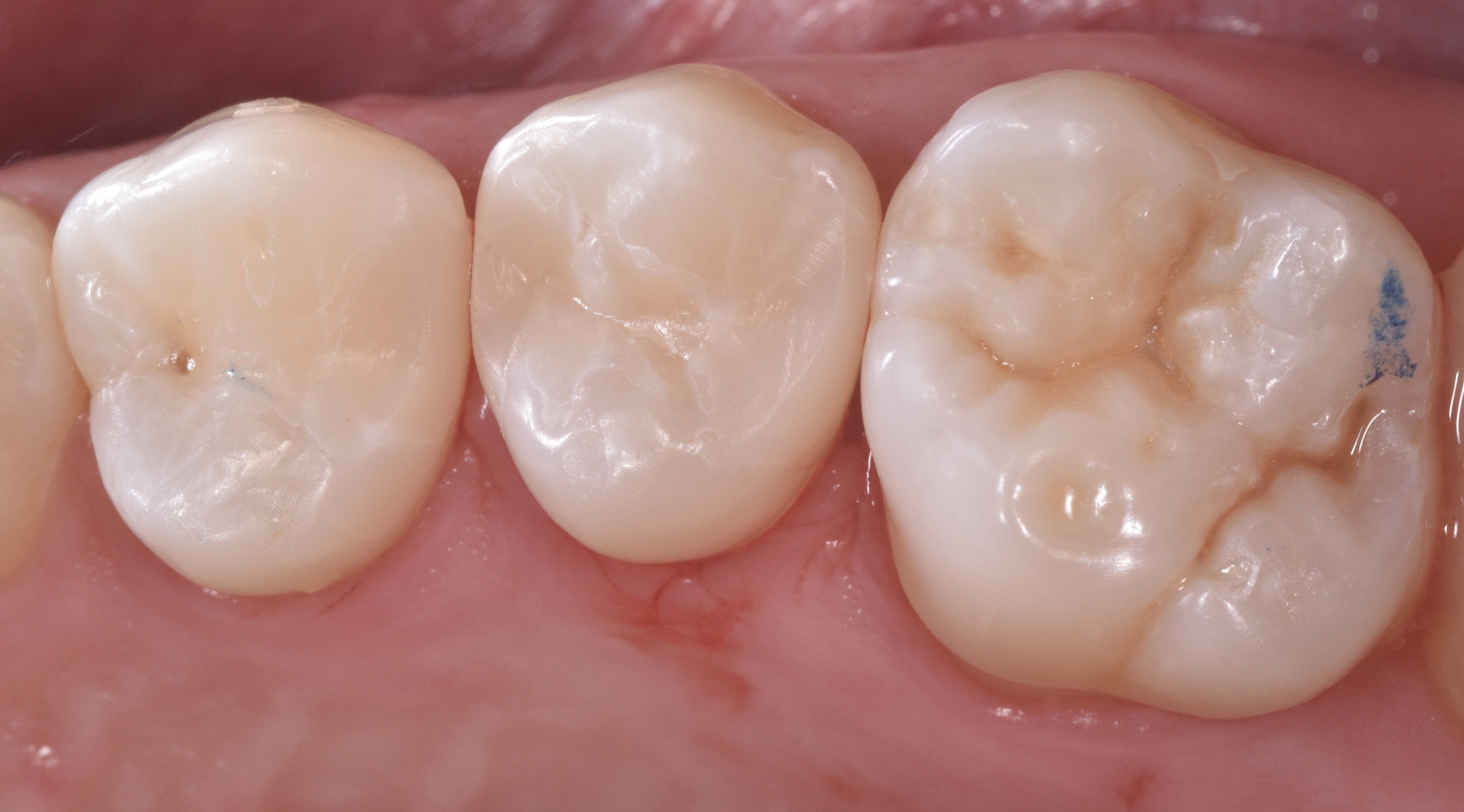
This is followed by removal of the rubber dam, adjusting occlusion, finishing and polishing using a combination of multifluted carbide burs, enhace points and soflex disc (Figure 11). Figures 12 and 13 show the fifteen days post-op follow up and the verification of ideal interproximal contact tightness. 

Figure 11
Figure 12
Figure 13
Figure 11Figures 12 & 13

Summary

A common reason why Class II preparations fail is due to lack of ideal proximal contours and contact tightness. In this case report we have highlighted how the selection of an ideal matrix system can help avoid these issues and prolong the lifespan of our restorations.

About the Author

Romero Headshot

Dr. Mario Romero

Dr. Mario Romero is a 1995 graduate from the University of Guayaquil School of Dentistry in his native country of Ecuador. He completed a two-year Advanced Education in General Dentistry Program at the University of Rochester, Eastman Institute for Oral Health where he was granted the Handleman Award for Excellence. More recently, Dr. Romero spent nine years at the Dental College of Georgia, where he was the Advanced Education in General Dentistry Program Director. While in this role Dr. Romero was awarded the Augusta University and the American College of Dentists Outstanding Faculty award for his achievements in scholarly, research and service; the Excellence in Dental Education Award from the Pierre Fauchard Academy, and the Teaching Excellence Award from the Dental College of Georgia which is the highest recognition for a faculty within the dental school. He has lectured extensively in over 20 countries, has numerous publications in national and international peer reviewed journals and is the author of the textbook “Minimally invasive esthetic dentistry, No drill techniques” published by Quintessence. Currently he is the owner of Dentistry180, a comprehensive restorative practice in Sarasota Florida.