Skip to main content

Class IV restoration with Blue View Varistrip

Dr. Gianluca Rossi

Download

Class IV restoration with Blue View Varistrip

The patient came to our observation reporting a domestic trauma (Ellis class II) that led to the fracture of element 2.1. A study model with associated diagnostic wax-up is made beforehand for the purpose of making a silicone key. After isolating the operative area with rubber dam, a cavity shape with a long bevel was defined. First the palatine wall and subsequently the proximal wall was create using the Blue View Varistrip anterior matrix. Then we proceeded to layering with dentin and enamel masses to complete the restoration. Finishing and polishing procedures to complete the whole process.

Opinion Leader's View:

I use the Blue View™ VariStrip™ matrices on a daily basis due to their small thickness and their variable anatomical conformation. I can insert them into the interproximal space and slide it until an adequate height for the restoration is obtained. Another plus point is their characteristic blue color which guarantees an excellent contrast between the matrix and the tooth itself and allows highly precise positioning.

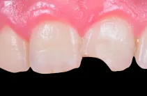
Figure 1.: Pre-operative situation
Figure 2.: Isolation with rubber dam of the operative area and cavity preparation
Figure 3.: 3 Creation of the palatal shell with the silicone key
Figure 4.: Insertion of the Blue View Varistrip Anterior Matrix
Figure 5.: Construction of the proximal mesial wall
Figure 6.: Final after finishing and polishing
Figure 7.: Post-operative situation, postrehydration control