Skip to main content

Direct and Indirect Rehabilitation in Posterior Teeth

Dr. Gianluca Rossi

Download

Introduction

A patient came to our office, complaining about chewing and thermic discomfort in the upper right jaw. After clinical and radiographic examination, carious lesions on elements 1.7, 1.6, 1.5 and 1.4 have been detected. We chose direct restorations on teeth 1.4 and 1.5 with minimally invasive approach. On teeth 1.7 and 1.6 were instead selected indirect restorations (hybrid composite).

Full coverage overlays were planned on both elements after an accurate biomechanical evaluation of the residual axial wall. After performing the direct restorations using the sectional system Garrison Composi-tight 3D Fusion, the teeth 1.6 and 1.7 have been prepared. 

Case Details

The dental impression was taken by single-phase two-component technique.

During the succeeding visit, after isolation of the operative field with rubber dam, the overlays were cemented with pre-heated composite. In this case, the use of this composite facilitated the removal of the excess cement due to the different opacity before and after polymerization. Finishing, polishing and glossing procedures were made before the removal of the rubber dam. Minimum occlusal adjustments were needed.

Figure 1
Figure 2
Figure 1. Preoperative situation. Occlusal view (Rx above)Figure 2. Isolation with rubber dam of the operative area 
Figure 3
Figure 4
Figure 3. Teeth after caries removal Figure 4. Restoration of distal wall 1.4 (Garrison Composi-tight 3D Fusion System) 
Figure 5
Figure 6
Figure 5. Restoration of distal wall 1.5 (Garrison Composi-tight 3D Fusion System)Figure 6.  Restoration 1.4-1.5 completed. Final Preparations 1.6 -1.7
Figure 7
Figure 8
Figure 7.  Impression (Sandwich technique)Figure 8. Master cast. Hybrid Ceramic overlays. (ODT Alessandro Morelli)
Figure 9
Figure 10
Figure 9. Cleaned and sandblasted teeth prior to cementationFigure 10. Luting of the overlay 1.7 with pre heated composite
Figure 11
Figure 12
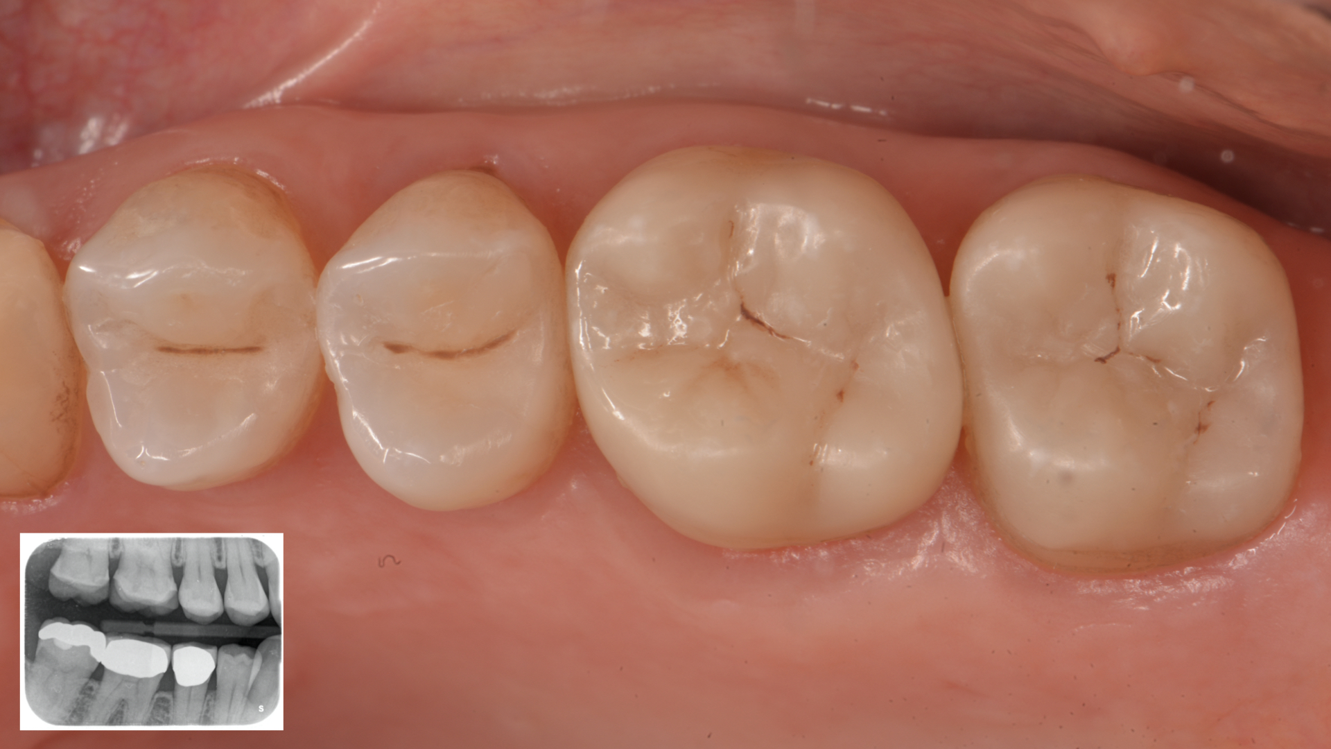
Figure 11.  Final after finishing and polishing proceduresFigure 12. One month Control. Occlusal view (Rx above)