Skip to main content

Surgical Extrusion With eZr

Dr. Riccardo Becciani

Download

Introduction

The patient was sent to me by a colleague knowing that I deal with surgical extrusion to avoid the extraction of the extremely compromised tooth 25. Once the possibilities, limitations, and risks of the technique and the possible options (such as orthodontic extrusion) had been explained to her and the colleague, they both agreed to surgically extrude the upper premolar. 

The radiolucent area of the coronal portion of the root is evident, well below the bone crest from the radiographs. I also warned my colleague of the presence of numerous interproximal carious lesions.

Case Details

A flapless surgical extrusion of approximately 3.5 mm was performed. In the same session, the root, after isolation with rubber dam, was splinted to the adjacent teeth with two “points” of flowable composite. Caries damaged tissue was cleaned and a temporary restoration with a reinforced CVI was performed.

After five weeks, Dr. Francesco Piras performed the endodontic retreatment and shortly afterwards the pre-prosthetic reconstruction was performed without the aid of an endodontic post.

Since the extrusion regularly exposes a portion of the root with a reduced diameter, a delicate intrasulcular preparation was carried out to give the technician the ability to manage the emergence profiles of the crown and to more easily to fill the large interproximal spaces.

Mr. Paolo Vigiani made a milled disilicate crown, which was cemented with a self adhesive cement (Panavia SA).

Figure 1
Figure 2
Figure 1. Bite Wing X-ray and Apical X-ray of tooth 25 completely compromised by the carious process.Figure 2. Clinical image of tooth 25 totally destroyed at the coronal level.
Figure 3
Figure 4
Figure 3. The same tooth immediately after the surgical extrusion.Figure 4. Tooth 25 five weeks after extrusion and endodontic retreatment (carried out by Dr. Francesco Piras). The two points of flowable composite used for splinting after extrusion and the temporary restoration in CVI are still present.
Figure 5
Figure 6
Figure 5. Phase of the adhesive reconstruction of the abutment (Build Up) with flowable composite used as a base. Figure 6. The abutment of tooth 25 just restored with body composite.
Figure 7
Figure 8
Figure 7. Milled lithium disilicate crown (Mr. Paolo Vigiani).Figure 8. The pass of the eZr Garrison coarse-grained blue rubber point immediately after cementation of the crown with a self-adhesive cement and occlusal adjustments made with a fine-grained diamond bur.

After the occlusal adjustment was performed with fine-grained diamond burs, the final polishing is carried out with eZr Garrison rubber polishers. The first step was performed with the coarse-grained blue rubber point to eliminate the microgrooves created by the diamond bur. Subsequently, the green medium-grained point was applied, which prepares the surface for the final polishing by the orange fine-grained point. Through these simple three steps, a perfectly smooth surface was obtained which is comparable to a glaze.  Unlike an unpolished surface which is rather abrasive for the opposing teeth, the mechanical polishing obtained with the eZr rubber polishers produces a shiny and an absolutely brilliant surface which is nonabrasive for the opposing teeth.

Subsequently, a clinical photo and radiographic check of the restored tooth 25 was performed.

Figure 9
Figure 10
Figure 9. The pass of the eZr Garrison medium-grain green rubber point.Figure 10. The pass of the eZr Garrison finegrained orange rubber point.
Figure 11
Figure 12
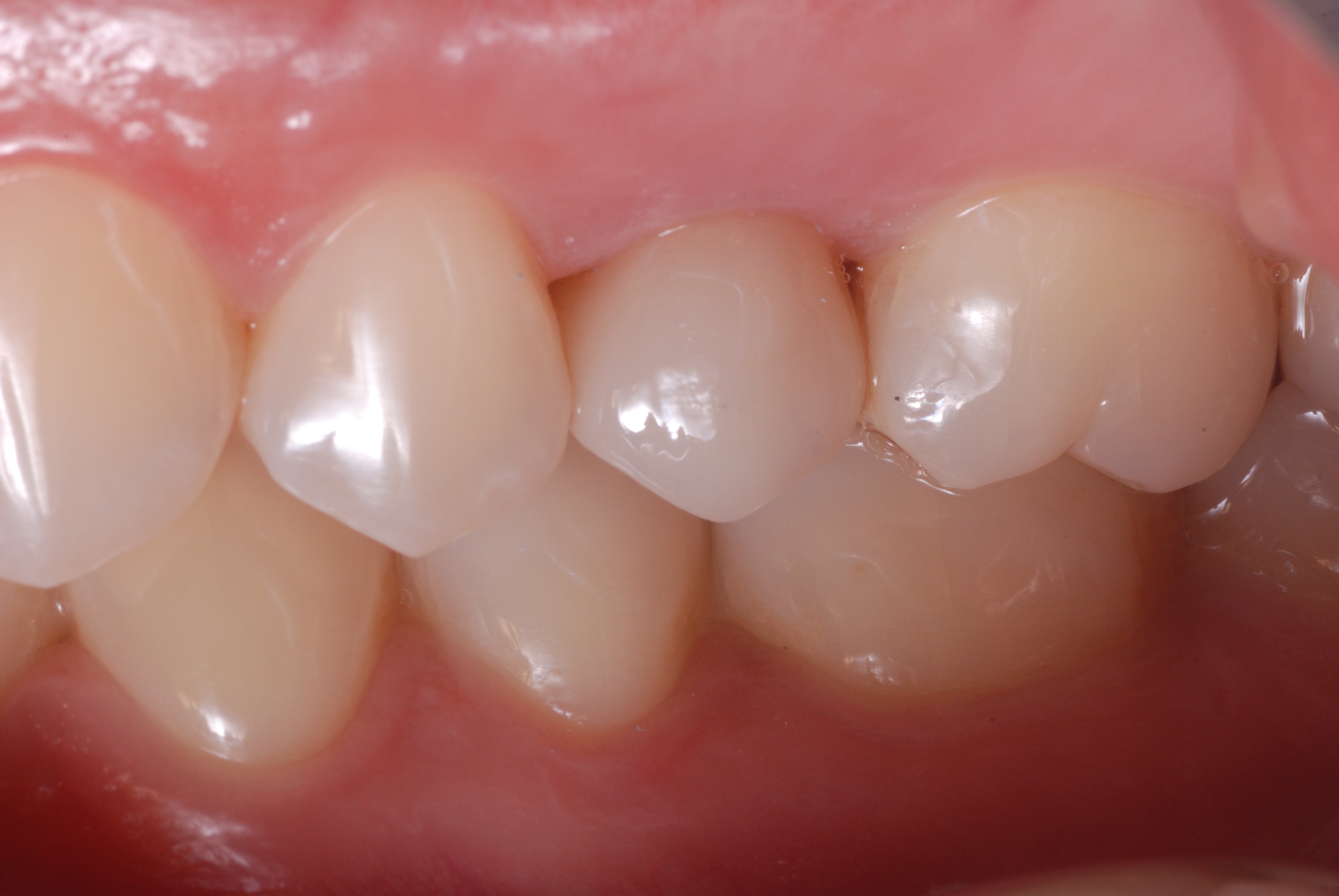
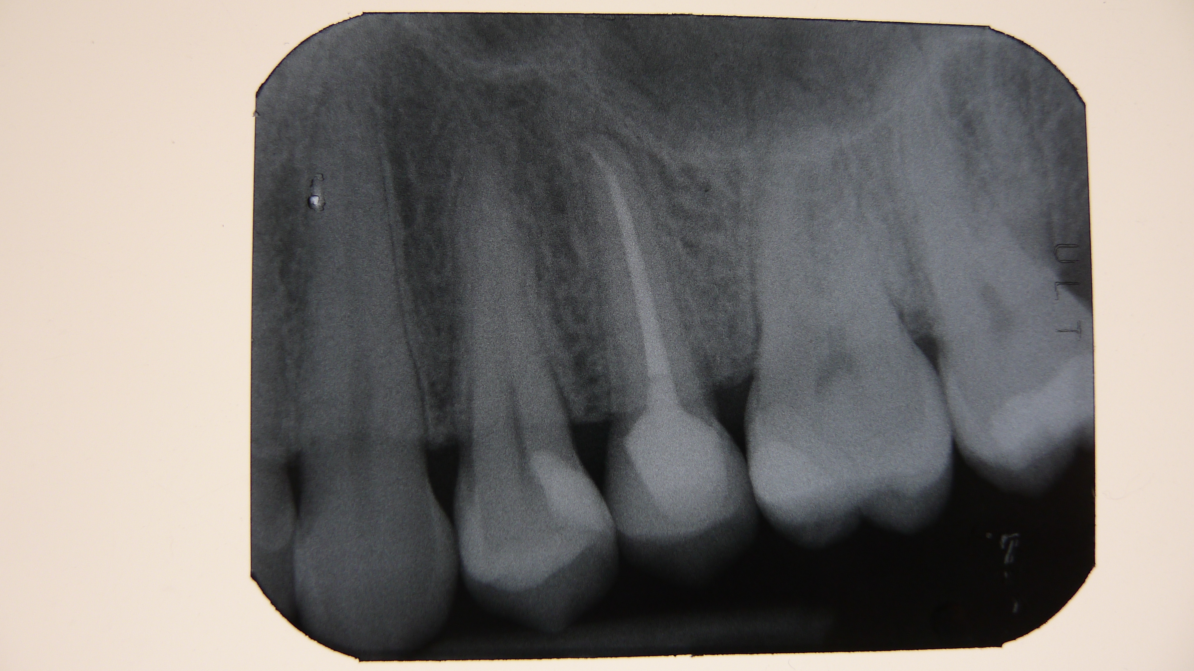
Figure 11. The crown on tooth 25 after polishing with the three eZr Garrison rubber points.Figure 12. Apical X-ray of the surgically extruded tooth 25 at the end of the restoration.
Figure 13
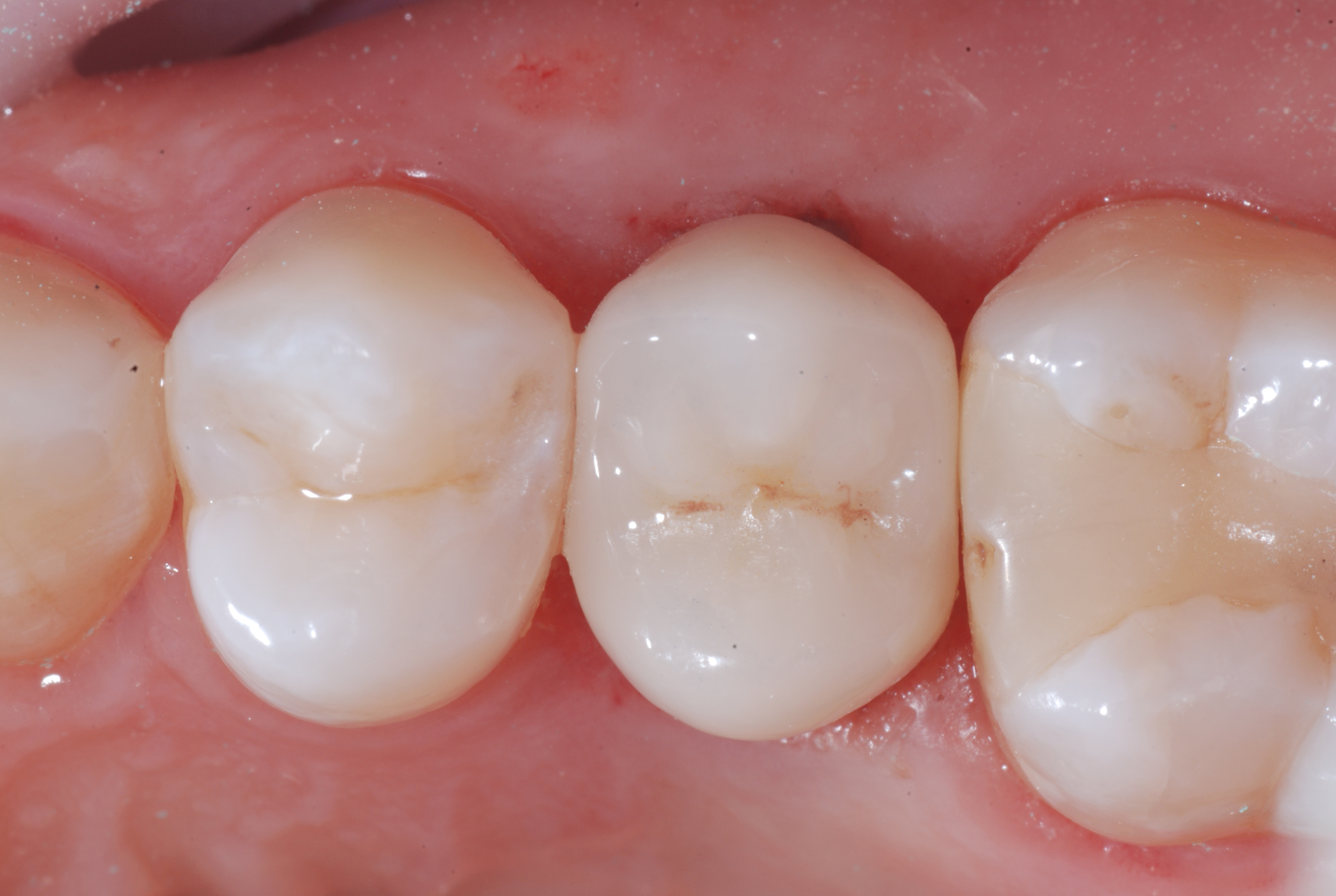
Figure 13. Clinical image of the same tooth at a follow-up visit.