Skip to main content

Back-to-Back restorations with the new system Quad Matrix System. Simplified management of the back-to-back class IIs

Dr. Daniele Gensini

Download

Back-to-Back-Restaurierung der Klasse II mit dem Quad Matrix System™

The new Garrison Quad Matrix System of matrices, bifurcated wedges, and directional separator rings represents a significant advancement in simplifying and optimizing the management of direct Class II restorations, especially for back-to-back cavities, or rather two adjacent Class II restorations facing each other.

It is precisely in these cavities that the system performs at its best, allowing the matrices to adapt ideally to the cavity margins, drastically reducing material overhangs and minimizing the need for extensive finishing. Likewise, the system works exceptionally well for single Class II restorations, ensuring excellent adaptation and marginal precision.

The complete system consists of sectional firm-band matrices in various shapes, designed to easily adapt to premolar and molar cavities as well as deep subgingival lesions. A small tab on top of the matrix helps position it effortlessly against the cervical margin to be reconstructed.

There are four different sizes of bifurcated wedges to accommodate various interproximal spaces, all featuring a split-tip design. This unique bifurcated shape allows them to work in synergy with the directional rings, adapting to the convex curvature of the tooth profiles. As a result, the matrices achieve an optimal marginal adaptation, reducing excess composite that would otherwise require extensive finishing.

The system also includes four separator rings, two tall and two short, similar to the Strata-G™ or Composi-Tight® systems, allowing them to be stacked if needed. However, the standout feature of these new rings is that each separator ring has two distinct inserts.

  • One is a traditional saddle-shaped insert that sits over the wedge, stabilizing it while enhancing gingival tissue retraction.
  • The other is a pointed insert, indicated by an arrow, which fits and stabilizes between the bifurcated wedge tips. This design allows the ring to synergize with the wedge by pressing and perfectly adapting the bifurcated wedge tips against the convex profiles of the adjacent teeth. This ensures that the sectional matrices remain tightly sealed against the cervical margin requiring reconstruction.

Each ring color corresponds to two versions, each with different working tips positioned in opposite directions. This allows the correct ring to be selected based on whether the bifurcated wedge was inserted from the buccal or lingual side. The goal is to place the working tip of the ring between the wedge’s bifurcated tips, ensuring optimal matrix adaptation against the tooth to be restored.

At the most coronal area of both inserts, silicone components—already present in previous ring designs—further enhance the matrix’s adaptation to the remaining tooth structure, ensuring an even more precise and intimate fit. At the most coronal area of both inserts, silicone components—already present in previous ring designs—further enhance the matrix’s adaptation to the remaining tooth structure, ensuring an even more precise and intimate fit.

Following is a case of a back-to-back Class II restoration performed using the new Quad system.

Figure 1: Initial view: inadequate Class II restorations to be replaced due to persistent food impaction and improper anatomy in teeth 2.5, 2.6, and 2.7
Figure 2: Cavities fully cleaned and ready for direct restorations
Figure 3: After adhesive procedures, flowable composite lining the exposed dentin
Figure 4: Matrices in position and stabilized by the special bifurcated wedge
Figure 5: Special directional separator ring in position
Figure 6: Matrix removed from the molar
Figure 7: Matrices just removed: note the perfect shape of the restoration profiles, nearly free of excess material requiring finishing
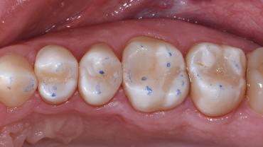
Figure 8: Restorations finished and polished
Figure 9: Palatal view of the perfectly recreated emergence profiles using the Quad system
Figure 10: Buccal view of the perfectly recreated emergence profiles with no overcontours or excess material
Figure 11: Restorations immediately after rubber dam removal
Figure 12: The occlusal check, evidenced by the articulating paper marks, demonstrates excellent functional integration of the restoration.

About the Author

 DanieleGensini_Headshot

Dr. Daniele Gensini

Dr. Daniele Gensini graduated with honors in Dentistry at the University of Siena in 2004, where for three years he worked as a tutor for students in the Prosthetics department, directed by Prof. Andrea Borracchini. He then trained in Italy and abroad in prosthetics, periodontology, implantology, dental aesthetics and gnathology, including the annual master’s degree of Dr. Mauro Fradeani, the two 2-year master’s degrees of Dr. Roberto Pontoriero, the annual courses of Dr. Stefano Gori and the annual course of Dr. Mario Molina. Dr. Gensini dedicates his clinical activity to prosthetics on natural teeth and implants, implantology, periodontology and dental aesthetics with direct and indirect techniques in his private practice in Rome. He also teaches courses and conferences in universities and private institutions both in Italy and abroad in English. He’s an active member of the Italian Society of Conservative Dentistry. Since 2018, Dr. Gensini has been a member of the Fradeani Education team as a speaker and tutor in various courses around the world.