Skip to main content

Index Technique using Blue View VariStrip™ - Dr. Riccardo Ammannato, DDS

Dr. Riccardo Ammannato, DDS

Download

Table of Contents

Case Details

1
2
Figure 1. Initial case with moderate attrition.Figure 2. Restorative wax-up performed after VDO rising.
3
4
Figure 3. Transparent index performed on the restorative wax-up.Figure 4. On each single index are performed two holes (buccal and palatal) in order to allow the excess to fl ow while pressing.
5
6
Figure 5. VariStrip matrix in place, during the no prep adhesive protocol.Figure 6. Composite copy and paste luting, through the transparent index.
7
8
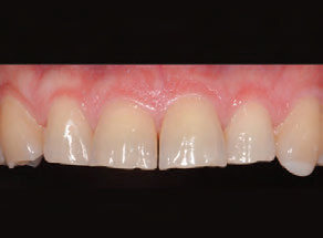
Figure 7. Pressed copy and paste composite, final outcome on the buccal view.Figure 8. Pressed copy and paste composite, final outcome on the palatal view. 

About the Author

Dr. Ammannato Headshot

Dr. Riccardo Ammannato, DDS

Dr. Ammannatto graduated from Genoa University in 2000 and completed his internship at the University of Zurich's Department of Operative and Restorative Dentistry, studying adhesive dentistry under Prof. F. Lutzz. He is an active member of the European Academy of Esthetic Dentistry (EAED), the Italian Academy of Operative and Restorative AIC, and the Italian Academy of Esthetic Dentistry (IAED).

In 2015, Dr. Ammannatto developed "The Index Technique," a no-prep direct restorative approach for worn dentition, published in The International Journal of Esthetic Dentistry (IJED). He has authored articles and lectured internationally on adhesive and restorative dentistry. Currently, he practices in Genoa, focusing on esthetics and restorative dentistry.