State before orthodontic treatment — in the case of large crowding of teeth, it is not recommended to perform IPR immediately due to the difficult access to the tangent space of the teeth.
Full Size Image
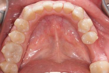
Condition during orthodontic treatment with Invisalign braces — teeth initially rotated.
Full Size Image
Reduction of the interdental space using the FitStrip™ system.
Full Size Image
To reduce the interdental space of rotated teeth, the strips can be tightened and arched to precisely perform the IPR.
Full Size Image
If only one space needs to be reduced, one-sided strips can be used.
Full Size Image
After the reduction is completed, assess using the IPR key.
Full Size Image
Final polishing with polishing strips.
Full Size Image
Condition after the reduction of the interdental space with the FitStrip™ — a place was created for further derotation of the incisors.