Skip to main content

Creating effective interproximal areas using a non-deformable matrix system: Firm Bands

Dott. Vincenzo Attanasio

Download

Creating effective interproximal areas using a non-deformable matrix system: Firm Bands

The presence of carious lesions on the distal walls of teeth 24 and 25 required conservative intervention in order to solve the patient’s problem. Once the carious tissue was eliminated and the cavity margins were finished, the presence of fairly small interproximal areas required the use of a matrix system that was non-deformable during insertion and that, at the same time, gave an emergency profile to the missing walls that was as natural as possible. Garrison’s Firm Band system was chosen for this purpose, in combination with wedges and separator rings of the Strata-G™ series.

VincenzoAttanasio_001_06072023 Figure 1
VincenzoAttanasio_002_06072023 Figure 2
VincenzoAttanasio_003_06072023 Figure 3
Figure 1: The preoperatory image shows the presence of interproximal carious lesions on the distal walls of teeth 24 and 25.Figure 2: Open, decontaminated and finished cavities.Figure 3: Contextual application of Firm Band matrices that guarantee a natural convexity to the walls to be rebuilt. The perfect adaptation of the matrix to the cervical step is achieved through the use of Strata-G™ wedges. Interproximal separation and vestibular and lingual adaptation of the matrix to the intact surfaces of the dental teeth are managed through the use of a Strata-G™ separator ring.
VincenzoAttanasio_004_06072023 Figure 4
VincenzoAttanasio_005_06072023 Figure 5
VincenzoAttanasio_006_06072023 Figure 6
Figure 4: Application of orthophosphoric acid in selective etching modeFigure 5: Completed reconstructions and walls being finished.Figure 6: Finished reconstructions
VincenzoAttanasio_007_06072023 Figure 7
VincenzoAttanasio_008_06072023 Figure 8
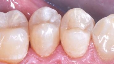
Figure 7: Post-operative image of the functional anatomical restoration of the occlusal surfaces and the distal marginal ridges of the treated teeth.Figure 8: Post-operative image in lingual view to appreciate the extremely effective and anatomically correct contact areas obtained through the Firm Band and Strata-G™ interproximal wall reconstruction systems.

About the Author

Attanasio

Dott. Vincenzo Attanasio

Dr. Vincenzo Attanasio graduated with honors in Dentistry and Dental Prosthetics in 2008 from the University of Catanzaro “Magna Graecia.” He has pursued advanced postgraduate education with a strong focus on endodontics, adhesive dentistry, and minimally invasive restorative techniques.

In 2009, Dr. Attanasio completed a postgraduate course in Use of Lasers and New Technologies in the Treatment of Oral and Perioral Hard and Soft Tissues at the University of Florence. That same year, he attended Professor Arnaldo Castellucci’s Endodontics course in Florence, further strengthening his expertise in nonsurgical endodontic treatment. In 2012, he completed advanced training in Surgical Microendodontics at the same center.

Continuing his dedication to adhesive and restorative dentistry, Dr. Attanasio attended Riccardo Becciani’s theoretical–practical course on Anterior and Posterior Adhesive Restorations in 2017, followed by the advanced course From Restoratives to Prosthetics: The Think Adhesive Approach. He is a Member of the Think Adhesive Board and serves as a Master Tutor for Think Adhesive.

Dr. Attanasio is a Silver Member of Style Italiano and a member of the Italian Academy of Conservative Dentistry. He is the author of several scientific articles and is a national speaker on adhesive dentistry. He practices privately in Lamezia Terme, with a clinical focus on endodontics and aesthetic conservative dentistry.